Наши работы

Доверьте здоровье и красоту улыбки специалистам МСЧ Внуково — на этой странице мы собрали фото «до» и «после», чтобы показать реальные истории пациентов и результаты нашей работы.
Наши работы
До После
До
После
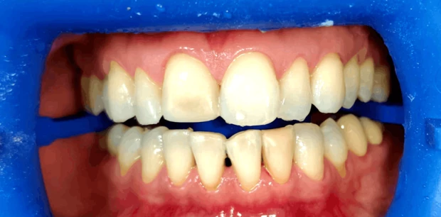
Ортодонтия
Исправление прикуса и выравнивание зубов
Ортодонтическое лечение направлено на коррекцию прикуса и правильное положение зубов с помощью брекет-систем и элайнеров.
До После
До
После
Ортодонтия
Ровные зубы. Правильный прикус. Уверенная улыбка
Комплексное лечение, направленное на выравнивание зубов и исправление прикуса с использованием современных брекет-систем.
До После
До
После
Ортопедия
Эстетическая коррекция улыбки
Пациентка М, 65 лет обратилась с жалобами на отсутствие зубов на верхней и нижней челюсти. Протезирование проведено полными съёмными протезами.
До После
До
После
Ортодонтия
Ортодонтическое лечение элайнерами
Пациентка А., 43 года обратилась с жалобами на эстетичесую неудовлетворенность внешним видом улыбки из-за скученности зубов. Проведено ортодонтическое лечение элайнерами. Лечение проводилось 1,5 года.
До После
До
После
Ортопедия
Коррекция улыбки и положения зубов
Выполнено выравнивание зубов и восстановление эстетики улыбки: улучшена форма зубного ряда, улыбка стала более открытой, ровной и гармоничной.
До После
До
После
Ортодонтия
Ортодонтическое лечение элайнерами
Пациент И., 10 лет. Родители обратились с жалобами на неровные зубы сына. Проведено ортодонтическое лечение элайнерами. Лечение проводилось 1,5 года.
До После
До
После
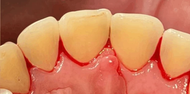
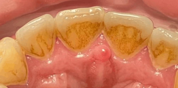
Профгигиена
Профессиональная гигиена полости рта
Выполнено удаление зубного налёта и камня: восстановлен естественный цвет эмали, улучшено состояние дёсен и профилактика воспалений.
До После
До
После
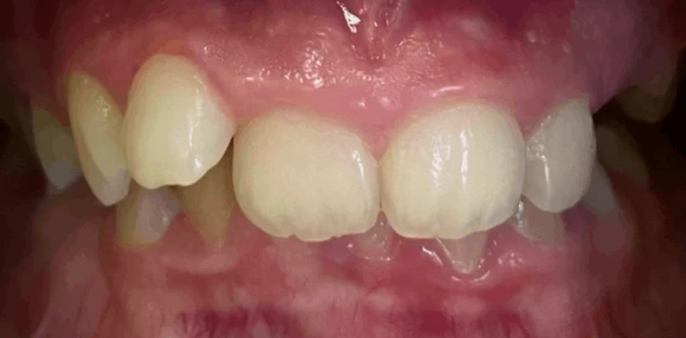
Профгигиена
Профессиональная гигиена зубов
Пациент Ф., 27 лет обратился с жалобами на периодическую кровоточивость десен при чистке зубов и на скученность зубов. Проведена профессиональная гигиена полости рта, пациент направлен на ортодонтическое лечение.
До После
До
После
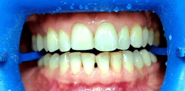
Реставрация, отбеливание
Профессиональное отбеливание зубов
Пациентка Л., 25 лет с жалобами на эстетическую неудовлетворенность цветом зубов. Было предложено провести отбеливание зубов системой ZOOM.
До После
До
После
Реставрация, отбеливание
Восстановление эстетики улыбки винирами E.max
Пациентка Н., 30 лет обратилась с жалобами на эстетическую неудовлетворенность внешним видом зубов из-за щелей. Проведено лечение винирами Emax.
До После
До
После
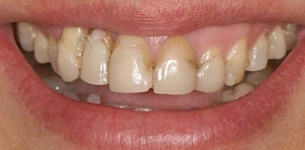
Реставрация, отбеливание
Эстетическая реставрация центрального зуба
Пациент Р., 20 лет обратился с жалобами на эстетическую неудовлетворенность из-за скола центрального зуба. Проведена эстетическая реставрация композитным светоотверждаемым пломбировочным материалом.
До После
До
После
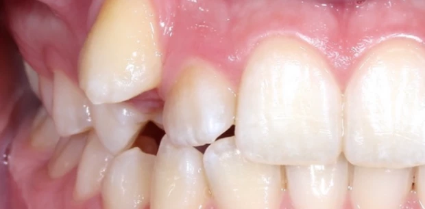
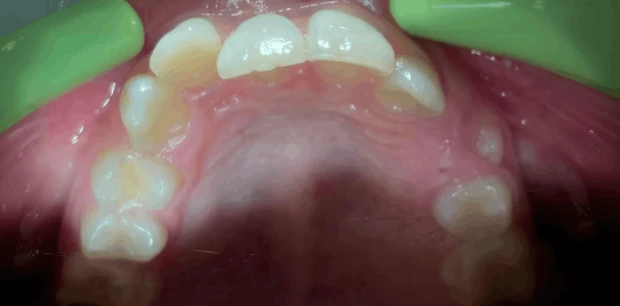
Ортодонтия
Исправление прикуса и выравнивание зубов брекет-системой
Пациент У., 15 лет. Родители обратились с жалобами на неровные зубы сына. Проведено ортодонтическое лечение брекет-системами. Лечение проводилось 2 года.
Идет загрузка

    Подберем удобное время приема

    Просто оставьте заявку и мы вам перезвоним

    Другие разделы